Dental Braces Advice From India’s leading Orthodontist
– as reported in Hindustan Times, June 2001
“Five Facts About Advancement In Dental Braces”
1. Smaller, Neater Designs:
Thanks to modern technology, braces are much smaller in size & look neater these days. Children can go for exciting colourful braces too.
2. Transparent Look:
If you are uncomfortable about the sight of braces on your teeth, ask for transparent ones. Braces to match the exact colour of your teeth can also be obtained.
3. Choose A Facility That Works:
Orthodontists these days would advise you about several new kinds of braces. The best is to go for ones that have tooth-moving facilities. These ensure quicker treatment.
4. Painless Procedure:
Don’t let your orthodontist use painful methods-they are obsolete now. Modern mechanics enable the movement of teeth in a more gentle & precise fashion.
5. Check The Wires:
Ask for super-elastic wires for the braces. These have “shape memory” and are also active for a longer period. Precision in shaping your teeth apart, they’ll see you visiting the orthodontist less often.
 |
 |
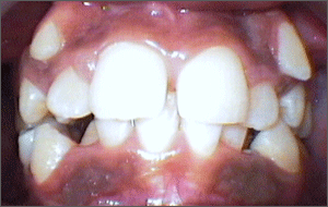
| Before Treatment |
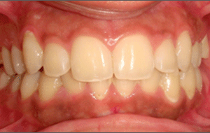
After Treatment |
|